南方卫视公益推荐,中家医即刻修复种植牙助您新年享好味

即刻用种植牙简介:
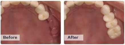
家庭医生口腔经过20多年研究,由中外种植牙名医的共同努力下,成功研发出更适合国人的即刻用种植技术。在该技术的支持下,种牙仅有3~4毫米的小切口,将人工牙根“种”入口腔内,摆脱了传统种植牙切开翻起牙肉、缝合、拆线等步骤,实现不翻瓣、不切开、创口小、术后即可进食的特点。最大程度降低疼痛的同时,真正实现即刻负重,即种即用,当天就可以正常吃饭。

即刻用种植技术优势:
1.即拔即种:在拔除坏牙的同时种上种植体,超短时间即可完成手术。创伤小,术后当天即可进食。
2.美观逼真:不损伤原有牙列,美观精致;而且全程在计算机辅助下精密操作,保障种植的准确性及安全性。
3.功能强大:和真牙一样,咀嚼咬合功能强大,牙齿稳固牢靠,并且自然舒适没有任何异物感。
4.名医坐诊:家庭医生口腔医院特邀中内外资深种植名医定期坐诊,种植经验均在10年以上,保障种植牙成功率。
5.个性化种植:家庭医生口腔医院口腔会根据每个的牙齿情况和个人需求,量身定制个性化的种植方案。
适合人群:
即刻用种植牙作为南方卫视活动组委会推荐的种牙技术,适用于所有缺牙者,特别适合于以下症状市民:
1.全口或半口缺牙缺失患者。采用活动假牙修复,随着年龄增加,上、下牙槽骨严重收缩,长期口腔粘膜溃疡可导致口腔粘膜恶变。即刻用种植牙则可有效避免以上情况发生,安全种植无危害。

2.连续多颗牙齿缺失。此时无论采用何种方法均不理想,无法有效恢复咬合力,而即刻用种植牙会有较好效果,咬合力强、稳固性好。

3.前牙脱落。如做活动假牙修复,需使用卡环或基托,影响美观和发音。即刻用种植牙可以较好地避免这些不足。

浓情佳节爱牙公益补贴日:
为了迎接新年,回馈广大市民,全民爱牙公益行动联合家庭医生口腔,发起“浓情佳节爱牙公益补贴日”活动。在2020年1月3日至5日期间,来院老友均可以享受法国品牌种植牙公益种一送一福利,瑞士高端即刻修复种植牙享受公益种牙红包津贴。

现场看牙可领取公益有机大米礼包,参与红包抽奖,百分百有奖!免费进口种植体、精美居家用品、公益品牌家电等你来领。

全民爱牙公益行动,是以促进全民口腔健康为宗旨的爱心公益行动,受到南方卫视、广州日报等诸多知名媒体报社大力支持!行动汇聚了德国、韩国、巴西等国内外权威口腔专家和社会各界爱心资源,以“免费、补贴援助”的形式,为全国各地口腔患者提供专业舒适的口腔服务。
截止到今日,已有8000多名成功援助案例,本次行动获得了各界高度赞扬与信赖!
1、官方报名热线:400-888-6991
2、公众号回复:姓名+电话+牙齿症状,即可获得公益援助
下一篇:广东赏梅进入最佳观赏期
返回首页